学校日記メニュー

学校日記

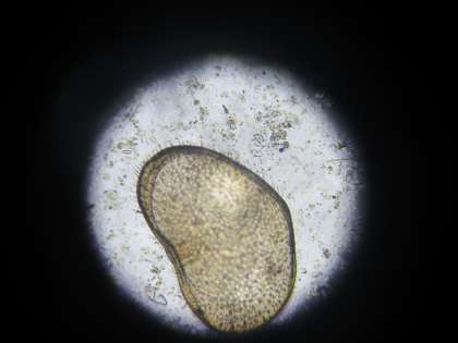
プランクトン観察

公開日
2019/12/06
更新日
2019/12/06

科学部

いつも理科室においてあるオオカナダモ(アナカリス)の水槽の水を調べました。
顕微鏡で観察したらミジンコや、ゾウリムシなどの生き物がたくさん元気に動いていました。
これからもっと繁殖してほしいです。